さいわいが選ばれる理由
- さいわいデンタルクリニックは、北広島市最多症例数の実績があります。多くの経験を元に、高度なマウスピース矯正治療を当院で受けることができます。
- 光学スキャナー「アイテロ」導入歯科医院なので、短期間で「綺麗な歯並び」を手に入れることができます。
- 当院の院長谷口正昭は、インビザラインプラチナエリートドクターに認定されており、北海道ではわずか数名しか認定を受けていないグレードです。
さいわいデンタルクリニックの治療費が
今ならお得です!!
さいわいデンタルクリニックの
インビザライン治療の特徴
-

北海道でわずか数名
治療計画はインビザラインダイアモンドドクターが責任をもって作成します。
医療法人miraiさいわいデンタルクリニック理事長の谷口正昭は全国や北海道でもまだ数少ない「インビザラインダイアモンドドクター」です。
またそれ以外の床矯正、マイオブレースなどの矯正治療の経験も豊富なので、安心して治療をお受けいただくことが可能です。治療経験も豊富なので、他院よりも短期間で治療設計を行うことが出来ますので、通常よりも早くインビザライン治療を始めることが出来ます。 -

皆様の笑顔のために
矯正歯科担当医プロフィール
谷口正昭資格・認定
・臨床研修指導医
・インビザラインダイアモンドプロバイダー(年間150症例以上)
・日本矯正歯科学会 会員
・日本床矯正研究会 会員
・日本アライナー矯正歯科研究会(JAAO) 会員
・MID-G 会員※写真は2020年8月時点でのもの
カウンセリングはドクターが担当します

医療法人miraiさいわいデンタルクリニックの「無料カウンセリング」は、
カウンセラーだけでなく、ドクターがしっかりと対応しますので、ご不明点やご心配事は直接ドクターに相談することが可能です。
ですので、安心して治療をお受けいただくことが可能です。
予約が取りやすい!

医療法人miraiさいわいデンタルクリニックでは、口腔内スキャナー「iTero Element(アイテロエレメント)」があるので型取りを一切せずに矯正治療を行うことができます。
この機器を当法人では3台導入しており、これは北海道で当法人のみです。ですので、いつでもご希望の時間帯で治療をお受けいただくことが出来ます。
限定100名‼モニター募集キャンペーン!
北海道最安値59万円‼
(医療費控除適応)
通常必要が発生する施術が、
今なら一部無料、低料金で受けることが出来ます
| 矯正カウンセリング | 無料 |
|---|---|
| 初回矯正検査 | 30,000円(税別) |
| インビザラインGO *前歯限定で軽度の歯並び |
片顎 300,000円(税別) 両顎 400,000円(税別) |
| インビザラインフル(5年保証) マウスピース数無制限 *中等度~重度の歯並び |
両顎 750,000円(税別) →今なら590,000円(税別) |
| 調整料 | 5000円(約1~3か月に1回) |
| 保定装置(リテーナー) | 30,000円(税別) |
■ 矯正カウンセリングでは無料相談の一部として、
お口の写真撮影、レントゲン撮影、光学スキャナーによるお口の撮影も行っております。
さいわいデンタルクリニックの強み

北広島市唯一 口腔内スキャナー
「iTero Element」導入
当院のマウスピース矯正に型取りは必要ありません。お口の中を動画撮影するだけ。口腔内スキャナー「iTero Element」に続き、北海道で2台目、札幌市内及び近隣では唯一となる「iTero element 5D」を導入しました。これまでのように、粘土のような材料で型取りをする苦しい思いをすることはありません。
口腔内スキャナーは、従来のシリコンを使用した型どりに比べて、精度も格段に上がり短期間で済みます。この口腔内スキャナーを導入している医院は北海道でほとんどありません。この機器が無くてもインビザラインの治療は可能ですが、精度が悪くなって治療期間が伸びたり、不快な型どりを何回も繰り返し行わなくてはいけないこともあり、当院ではより良い治療を皆様に提供したいと思い、口腔内スキャナー「iTero Element」「iTero Element 5D」を導入しています。

3Dシミュレーションで
治療の進み方を確認できる
当院のマウスピース矯正に型取りは必要ありません。お口の中を動画撮影するだけ。最新の口腔内スキャナー「iTero Element」を北広島市で唯一導入しています。これまでのように、粘土のような材料で型取りをする苦しい思いをすることはありません。
口腔内スキャナーは、従来のシリコンを使用した型どりに比べて、精度も格段に上がり短期間で済みます。この口腔内スキャナーを導入している医院は北海道でほとんどありません。この機器が無くてもインビザラインの治療は可能ですが、精度が悪くなって治療期間が伸びたり、不快な型どりを何回も繰り返し行わなくてはいけないこともあり、当院ではより良い治療を皆様に提供したいと思い、口腔内スキャナー「iTero Element」を導入しています。

最新機種を使用して
患者さまの負担を軽減
iTero element 5Dは当院で使用している「iTero element」の最新機種でカメラの精度、処理速度など従来のものよりもはるかに向上しており、より短時間でのスキャニングが可能になっています。また、近赤外線(NIRI)で隣接面の虫歯チェックが出来るようになりました。
通常虫歯の診査にはレントゲン写真を使用しますのが、実はレントゲン写真で検知できる虫歯は100%ではありません。
iTero element 5Dによる近赤外線(NIRI)ではレントゲン写真でも検知できない歯の間の虫歯を見つけることができます。
無料矯正相談の際にも、近赤外線(NIRI)による虫歯チェックを無料で行なっておりますので、お気軽にお声がけください。

できるだけ抜歯しない
お子さまの矯正治療
お子さまには、あごの成長を利用した無理のない矯正治療を行っています。抜歯せずに矯正治療を行うケースがほとんどです。4歳から対応可能なので、お気軽にご相談ください。
多様なお支払い方法をご用意
-

現金支払い
当クリニックの受付での現金一括でお支払いいただけます。
-

銀行振込
当クリニック指定の銀行口座にお振込みください。
-

クレジットカード
各種クレジットカードでのお支払いが可能です。
-

デンタルクレジット
アプラスデンタルローンをご利用頂けます。(12回まで手数料無料、分割回数120回まで)
100名様限定
北海道最安値
モニター募集キャンペーン!
北海道最安値の59万円
そこで今回さいわいデンタルクリニックでは
100名様限定で「モニターキャンペーン!」として、
通常75万円いただいて行う、「インビザライン 治療」をなんと「59万」で行います。
モニター患者様には簡単なアンケートと経過を記録する写真撮影をお願いします

世の中には「歯並びに自信がなくて人前で話すのが苦手」「歯並びが悪くて思いっきり笑えない」「歯並びが悪くて、磨きづらくいつも歯周病や虫歯で悩まされている…」
そういった悩みを抱えている方が大勢いらっしゃいます。また「矯正をしたい!」と思っても「今更、目立つ装置をつけて数年も過ごしたくない」とためらっている方も多いと思います。
目立たない矯正治療「インビザライン」はそういった方の悩みを解決する画期的な治療法です。この「インビザライン」治療を多くの方に知っていただきたい!そして一人でも多くの方を「笑顔」にしたい!そういった思いから今回、さいわいデンタルクリニックでは《インビザラインモニター》患者様を募集することにしました。モニター患者様には簡単なアンケートと経過を記録する写真撮影をお願いします。
皆さまの声を集めて、より多く方に「インビザライン」治療を伝えていくためにご協力をお願いします。
モニター患者様にはそのお手伝いをしていただきますので、通常インビザラインフルの治療費75万円(税別)のところを59万円(税別)で提供させていただきます。
本当は数に制限を設けることなく、提供したいと思っておりますが59万円(税別)は北海道最安値での提供となりますので、限定100名とさせていただきます。ご了承ください。
インビザラインが
医療費控除で更にお得に
歯科治療費は医療費控除の対象です。年間10万円以上の医療費がかかった場合、国の定める医療費控除という制度を活用する事で、上記の矯正治療費から5%~45%の金額を還付金として受給する事ができます。
Point1
1年間の所得や支払った医療費に応じて還付金を受給

Point2
当院では医療費控除に必要な「診断書」を無料でご用意
医療費控除には診断書発行が必要で、一般的には診断書発行に数千円かかる事が多いですが、当院では医療費控除に必要な「診断書」を無料でご用意しております。
インビザライン矯正とは
インビザラインはアメリカ生まれの矯正治療システムです。
インビザライン矯正とは、ワイヤーや器具を一切使わずに
透明なマウスピースを使用して歯並びを直す新しい歯科矯正治療システムです。
独自の3D治療計画ソフトウェアと歯科医師による総合的な判断の基、
定期的にマウスピース型の矯正装置を利用することでより
高精度な矯正治療を実現しています。
世界中で800万人以上の治療実績があります(2019年現在)。
矯正治療へのこんなお悩み
ありませんか?
インビザラインなら全て解決できます!
お悩みを解決する
インビザライン矯正の4つのポイント

Point1
ワイヤーや金属を使わない!
会話してても
目立たないから嬉しい!
透明なマウスピースを使用して行うインビザライン矯正治療は、従来のように金属を一切使用しません。会話をしたり食事をするときに、金属の金具が見えることはないために、審美性に優れており、安心して治療を続けることができます。

Point2
いつでも簡単に
取り付け・取り外しができる!
歯磨きや食事の邪魔にならない!
マウスピース型の矯正治療ですので、いつでも簡単に患者様ご自身で取り付け・取り外しができます。歯磨きや食事の際は、すぐに取り付け・取り外しができるために、日常生活も今までどおり。また、皆さんの口に併せてマウスピースを作りますので、ちょっとの衝撃ですぐ外れてしまうということはありませんので、ご安心ください。

Point3
痛み・不快感を大幅に軽減!
子供も大人も安心!
従来の金属を使用した矯正治療の課題は、金属金具の凹凸が要因となる不快感でした。マウスピース型の矯正治療であるインビザライン治療では、凹凸部分が少なく、従来治療に比べ圧倒的に不快感を減らすことができます。矯正時に、喋りづらいといったことも起きにくく、お子様にも安心して矯正を行えます。

Point4
お仕事で時間が
取れなくても大丈夫!
通院回数を少なくできる!
マウスピースをご自宅で交換することで、治療を進めることが可能なインビザライン矯正。お仕事がお忙しい方も1ヶ月-3ヶ月間隔での通院治療が可能。お気軽にご相談ください。
インビザラインと
その他矯正との比較

-
インビザラインと
メタルブラケット矯正の比較マウスピースをご自宅で交換することで、治療を進めることが可能なインビザライン矯正。通院間隔を1ヶ月-3ヶ月で調整できますので、仕事や部活で忙しい方など、通院回数の少ない矯正治療をご希望の方におすすめです。
-
インビザラインと
リンガルブラケット矯正の比較リンガルブランケット矯正は歯の裏に矯正金具を装着して、目立ちにくい矯正方法ですが、マウスピース型のインビザライン矯正に比べて高額になります。また、インビザラインに比べると不快感の強い治療方法となります。
オンライン事前相談とは?
事前にお口の中のお写真を撮影して下記方法にてお送りください。
マウスピース矯正治療の適応の可否、一般的に想定される治療期間などの簡易診断を行います。
来院前に、専任のカウンセラーが皆さまのお話しをお聞きし、担当ドクターから簡易診断の結果をお伝えいたします。
事前にオンラインで簡易診断と無料カウンセリングを受けられますので、
矯正治療をご検討の方はお気軽にお問い合わせください。
簡易診断申し込み方法
2
LINEにて、以下の説明を参考にしてお口の中のお写真をお送りください。
撮影のポイント
スマートフォンのインカメラでの撮影が簡単です。
下記の撮影例を参考に撮影してください。
-
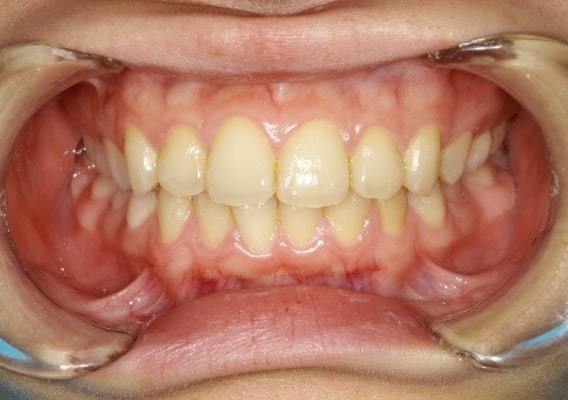
1正面写真

-
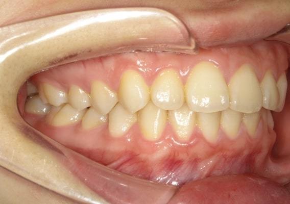
2右写真

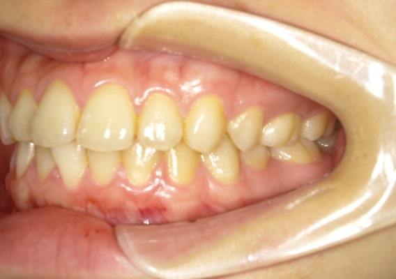
-
3左写真

・できるだけ奥の歯まで見えるようにしましょう。
・撮影時は奥歯までしっかり咬んだ状態です。
・左右撮影のとき見えにくい場合は片手で口角を引っ張って下さい。
-
4上写真

-
5下写真

・できるだけ大きく口を開けて撮影しましょう。
・暗くなりやすいので、光を取り入れて全体が見えるように撮影しましょう。
・上あご撮影の際はスマートフォンを逆さに持つと撮影しやすいです。
・下あご撮影の際は出来るだけ舌は引きましょう。
3
写真とご一緒に、氏名、生年月日、相談内容をご入力ください。
4
LINE上でオンライン相談の希望日時をお伺いし、日程調整を行っていきます。
ご利用上のご不明点など、お気軽にお問い合わせください。
どうぞよろしくお願いいたします。

- 休診日:
- 日曜日・祝日
- □→木曜日
- 午前9:00〜13:30(受付13:00まで)
- △→土曜日
- 午前9:00〜15:00(受付14:30まで)
※お車でのアクセス: 駐車場完備(5台)第2駐車場あり
〒061-1278 北海道北広島市大曲幸町4町目4-2
アクセス
さいわいクリニックは北広島ICすぐ側だから遠方からもご来院頂いております。
-
苫小牧からお越しの方
苫小牧中央ICから北広島ICまで30分(費用一般1110円、ETC780円)
-
千歳からお越しの方
千歳ICから北広島ICまで20分(費用一般780円、ETC550円)
-
恵庭からお越しの方
恵庭ICから北広島ICまで13分(費用一般550円、ETC380円)
※ご予約が取りづらい場合は、こちらの医院へお問い合わせ下さい
さいわいデンタルクリニック札幌大曲
三井アウトレットパーク向いのショッピングモール内
(スーパーアークスなどが入っているモールです)
住所:北海道北広島市大曲幸町6-1 インタービレッジ大曲
電話:011-375-7653















